丁寧な対話と世界水準の医療で
心から安心できる時間を約束します
ここに来てよかった、 そう思える歯科医療を。
-
JR三鷹駅
徒歩3分 -
痛みに配慮
した治療 -
土曜診療
予約可能日
急患枠を設けておりますので、
お電話にてご確認ください。
急患枠を設けておりますので、
お電話にてご確認ください。
急患枠を設けておりますので、
お電話にてご確認ください。
三鷹の歯医者【みずはら歯科・矯正歯科 三鷹】
三鷹駅からすぐそばの
通いやすい歯医者
平日夜19時、土曜日も診療しているお仕事終わりにも通える三鷹の歯医者です。JR中央線/中央・総武線三鷹駅南口から徒歩3分。三鷹エリア周辺で歯医者をお探しの方は、【みずはら歯科・矯正歯科 三鷹】まで。お口周りのことは何でもご相談ください。
| 診療時間 | 月 | 火 | 水 | 木 | 金 | 土 | 日 |
|---|---|---|---|---|---|---|---|
| 10:00-13:00 | ● | ● | ● | ● | ● | ● | ━ |
| 14:00-19:00 | ● | ● | ● | ● | ● | ▲ | ━ |
診療時間 :▲ 14:00〜17:30
休診日 日曜日・祝日
患者様の心に寄り添い、 世界基準の歯科医療を もっと身近な存在に。
「ここに来てよかった」
「ここなら安心できる」
と思える歯科医院
「優しい治療」「丁寧な対話」を大切に患者様の心に寄り添い、「ここに来てよかった」「ここなら安心できる」と思える歯科医院であり、ご家族や大切な方にも安心して紹介していただける存在であることが私たちの理想です。
世界基準の歯科医療を提供するため、海外の大学のプログラムや学会などに参加し、根拠に基づいた医療や最先端の歯科医療について日々技術や知識の研鑽を積んでまいりました。
「何度も同じ歯の治療を繰り返している」や「治したはずなのに、また同じところが悪くなる」など、お口のことで気になることやお悩みの方は、どうぞお気軽にご相談ください。
FEATURES
当院が選ばれる6つの理由
三鷹の歯医者【みずはら歯科・矯正歯科 三鷹】
患者様に安心して来院、治療を受診いただけるよう、限りなく痛みのない歯科治療を目指しています。三鷹駅から近く、平日19時、土曜日17時30分まで診療しております。口周りでのお困りごとお悩みがございましたら、お気軽にご相談くださいませ。
-
FEATURE
01.
患者様に合わせた
治療計画の提案対話を大切にし、丁寧でわかりやすい説明を心がけ、不安や疑問を解消した上で患者様一人ひとりに寄り添った治療計画をご提案し治療を進めていきます。
治療計画については、治療方法は決して一つではないため、費用や期間だけでなく「どう」なりたいか、「どのように」直したいかという希望を含め、たくさんの治療の選択肢の中からお一人おひとりに合った治療方法を探してゴールを決めていきます。 -
FEATURE
02.
各分野の専門家による
チーム医療当院では、高度な治療を提供するために、根管治療、インプラント、矯正治療、口腔外科など各分野ごとの専門のドクターが連携しながら総合的な診療を行います。これにより複合的な観点から最適な提案と質の高い治療を提供することができます。専門のドクターが所属しているため難易度の高い治療やセカンドオピニオンとしても、ご相談ください。
-
FEATURE
03.
痛みの少ない
快適な治療「歯医者に行くのが怖い」「治療時に痛くないか不安」という方もいらっしゃると思います。当院では、患者様に安心して治療を受けていただけるよう細心の配慮と治療時にはなるべく痛みが出ないような麻酔技術で、患者様のストレスをできる限り軽減することに努めます。
-
FEATURE
04.
保存可能な歯を見極め
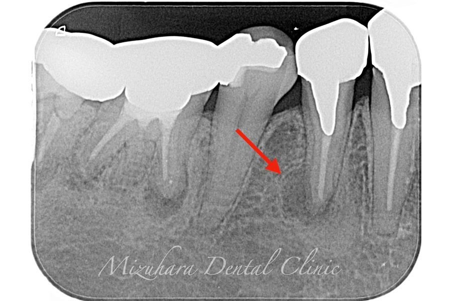
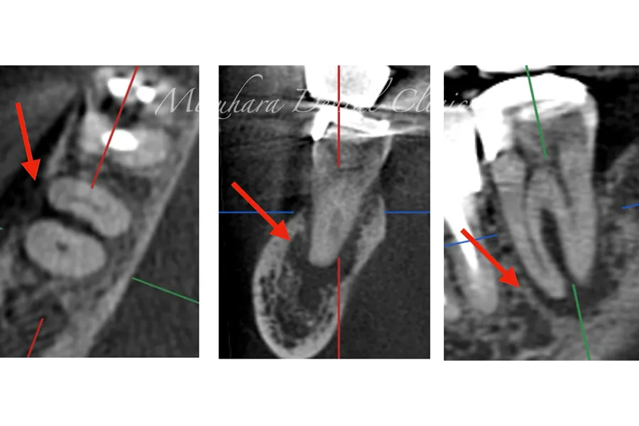
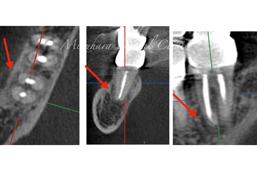
予知性の高い治療を提供できるだけ患者様の大切な歯を残し、10年、20年先まで健康な状態を保てるよう、長期的な視点で治療を計画します。そのために最も重要なのが、「診査」と「診断」です。的確な診断は精密な診査から生まれ、治療結果を大きく左右します。問診や簡易検査だけでは見逃されがちな病変も、CTやマイクロスコープなどの最新の医療機器を活用し、時間をかけて丁寧に「診査・診断」を行います。
-
FEATURE
05.
医療設備の整った
プライベートに配慮した
完全個室の診療室マイクロスコープをはじめ、歯科用CT、EMSエアフローや口腔内スキャナーによる光学印象など最新の医療機器を完備し、精密で質の高い歯科医療を提供します。
完全個室の診療室を完備しており、プライベートに配慮したリラックスした空間で治療をお受けいただけます。 -
FEATURE
06.
駅チカで通いやすい
土曜日も診療JR「三鷹駅」南口から徒歩3分の場所にあります。平日は19時まで、土曜日も診療しているため、お仕事や学校、家事などでお忙しい方でもお通いいただけます。
DOCTOR
院長ごあいさつ
三鷹の歯医者【みずはら歯科・矯正歯科 三鷹】
インディアナ大学 歯学部
みずはら歯科・矯正歯科三鷹 院長
水原 翔
患者様の心に寄り添い、
世界基準の歯科医療を
もっと身近な存在に
はじめまして。
この度、三鷹の地に「みずはら歯科・矯正歯科 三鷹」を開業させていただいた、院長の水原 翔と申します。
私たちのクリニックは、「患者様の心に寄り添い、世界基準の歯科医療をもっと身近な存在に。」をコンセプトにしています。
患者様が「ここに来てよかった」「ここなら安心できる」と思える歯科医院であり、ご家族や大切な方にも安心して紹介していただける存在であることが、私たちの理想です。
TREATMENTS
当院の診療メニュー
三鷹の歯医者【みずはら歯科・矯正歯科 三鷹】
三鷹エリアで幅広い歯科治療に対応できる歯医者をお探しですか?急な痛み、取れた腫れたなどの急患対応から、インプラントのような外科処置が必要な診療まで、全ての歯科治療で高い技術力を提供する三鷹エリアの歯医者です。
-
PICK
UP
豊富な臨床経験に基づくインプラント治療
インプラント治療
米インディアナ大学歯学部 インプラント科のプログラムを受講し、国際的な教育環境のもとで臨床経験を積んだ当院長によるインプラント治療。
-
PICK
UP
笑顔のための最適な治療方法のご提案
矯正歯科
ワイヤー矯正から、目立ちにくいマウスピース矯正、ちょこっとだけ前歯が気になる場合などには部分矯正など、患者様のお口の状態やご要望を丁寧にお伺いして、最適な治療をご提案いたします。
-
PICK
UP
世界基準の成功率を目指した精密根管治療
根管治療
当院では豊マイクロスコープ、ラバーダムを使用し、世界基準の成功率を目指した精密根管治療による「歯を残す」ための治療をご提供します。
-
PICK
UP
QOLの向上をサポート
予防歯科
虫歯や歯周病などのお口のトラブルを未然に防ぐため、患者様一人ひとりのお口の状態を継続的に把握・管理し、地域の皆さまの健康で快適な生活(QOL)の向上をサポート。
診療メニュー一覧
CASE
症例紹介
三鷹の歯医者【みずはら歯科・矯正歯科 三鷹】
FACILITY
設備紹介
三鷹の歯医者【みずはら歯科・矯正歯科 三鷹】
ご相談しやすいよう、プライバシーに配慮したカウンセリングルームや完全個室の診療室、精密な治療のためのマイクロスコープをはじめとして歯科治療を円滑に正確に行なうための機器を取り入れています。
三鷹エリアで院内設備に力を入れている歯医者です。
COOPERATION
連携医院
三鷹の歯医者【みずはら歯科・矯正歯科 三鷹】
地域の皆さまの健康を総合的に支えるため、
医科との連携体制と、通院が難しい方への訪問歯科診療の両面から、
安心して受けられる医療環境を整えています。

























































